Comparison of MLI®, MLI® Virtual H&E, and H&E in Invasive Breast Cancer
- Mar 6
- 1 min read
MLI® whole slide of invasive ductal carcinoma with admixed ductal carcinoma in situ. Tissue courtesy of Ontario Institute for Cancer Research.
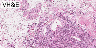
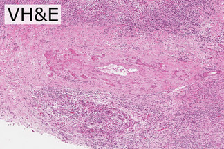
The above three whole slide images show raw MLI® contrast and MLI® virtual H&E derived from unstained tissue, and the same tissue after H&E chemical staining.
Zoom-ins highlight the complex data captured in the raw MLI® contrast in unstained tissue, and the excellent concordance between MLI® virtual H&E, paired with the same tissue subsequently stained with chemical H&E.
These regions of interest show invasive breast carcinoma with associated ductal carcinoma in situ (DCIS) and a prominent tumor-associated lymphocytic response. Irregular malignant glands and small clusters of epithelial tumor cells infiltrate a fibrous desmoplastic stroma, consistent with invasive carcinoma. Some of the glandular structures demonstrate crowded epithelial proliferation within ducts, confirming ductal carcinoma in situ.
Note the complex stromal detail captured by the raw MLI® in the leftmost panels: much of this information is not evident in H&E stained tissue.
Image Credit: Tissues courtesy of OICR, images by illumiSonics Inc.






































